Physicist · X-ray imaging researcher

Dominik John

I work on improving X-ray imaging methods to extract more information from medical and scientific images, using techniques that can reveal soft tissue, microscopic structure, and details that conventional scanners miss.

Portrait of Dominik John, physicist and X-ray imaging researcher at the Technical University of Munich

About

I’m a physicist and researcher at the Technical University of Munich, working on phase-contrast and dark-field X-ray imaging. These techniques turn what a conventional scanner throws away (the wave-like behavior of X-rays) into new contrast channels for medical and scientific imaging.

In practice this is a mix of applied physics, instrumentation, and data analysis: designing better acquisition schemes, writing reconstruction algorithms, and figuring out what the resulting images actually tell us. So far I’ve worked on dynamic dark-field tomography for monitoring cryoablation, high-efficiency phase microtomography at synchrotron sources, and X-ray virtual histology.

I like clear explanations and building things that actually work. I’m always open to collaborations, so if you have an interesting sample, an imaging problem, or an idea that might benefit from these methods, feel free to get in touch!

Research

Phase-contrast X-ray reconstruction

Phase-contrast & dark-field imaging

Exploiting the refractive index and small-angle scattering of X-rays for contrast channels beyond conventional attenuation, both at grating-based lab setups and at synchrotrons.

Fig. from IEEE TIP 2026 · CC-BY

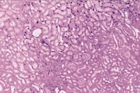
Virtual histology stain-mapped tissue reconstruction

X-ray virtual histology

Getting anatomical and tissue-level information out of 3D X-ray scans to aid biomedical research and diagnosis, without physically cutting the sample the way conventional histology requires.

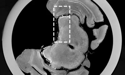
Dark-field CT monitoring of tissue freezing

Dynamic & functional tomography

Multimodal monitoring of dynamic processes, by adding phase-contrast and dark-field channels to conventional CT for enhanced contrast and quantitative information. One example: tracking tissue cryoablation as it happens.

Fig. from Sci. Rep. 14, 5599 (2024) · CC-BY

Media & Press

Publications

Peer-reviewed. Full, up-to-date list on ORCID and Google Scholar.

First Author

  1. Quantitative Stain Mapping in X-Ray Virtual Histology

    D. John, D. M. Paganin, M.-C. Zdora, L. M. Petzold, P. Ilg, J. Chen, S. Baggio, J. B. Thalhammer, S. Wirtensohn, J. Moosmann, J. U. Hammel, F. Beckmann, S. J. Alloo, J. Ahlers, M. Busse, J. Herzen, K. S. Morgan

    Advanced Science 13(21), e19783 · 2026 Hereon press

  2. Near-perfect efficiency in X-ray phase microtomography

    D. John, G. Breitenhuber, S. Wirtensohn, F. Hinterdobler, L. Gaetani, S. Savatović, J. Lucht, M. Osterhoff, M. Eckermann, T. Salditt, J. Herzen

    Optica 13, 273–283 · 2026 TUM press

  3. Extending the field of view in modulation-based X-ray phase microtomography

    D. John*, J. Chen*, C. Gaßner, S. Savatović, L. M. Petzold, S. Wirtensohn, M. Riedel, J. U. Hammel, J. Moosmann, F. Beckmann, M. Wieczorek, J. Herzen *shared first authorship

    IEEE Transactions on Image Processing · 2026

  4. X-ray dark-field computed tomography for monitoring of tissue freezing

    D. John, W. Gottwald, D. Berthe, S. Wirtensohn, J. Hickler, L. Heck, J. Herzen

    Scientific Reports 14, 5599 · 2024

Co-Author3 papers · show ↓
  1. Directional Dark Field for Nanoscale Full-Field Transmission X-Ray Microscopy

    S. Wirtensohn, S. Flenner, D. John, P. Qi, C. David, J. Herzen, K. Singh, G. Lotze, I. Greving

    Light: Science & Applications · 2026

  2. Self-supervised denoising of grating-based phase-contrast computed tomography

    S. Wirtensohn, C. Schmid, D. Berthe, D. John, L. Heck, K. Taphorn, S. Flenner, J. Herzen

    Scientific Reports 14, 32169 · 2024

  3. Grating-based x-ray dark-field mammography: Assessing complementary imaging information in simple cystic lesions and typical fibroadenoma

    K. Hellerhoff, W. Gottwald, K. Taphorn, D. Berthe, M. Braun, K. Wagner, S. Resch, D. John, L. Heck, L. Birnbacher, J. Herzen, S. Grandl

    Medical Physics 52(4), 2145–2154 · 2025

Conference Proceedings1 paper · show ↓
  1. Recent developments in quantitative phase-contrast microtomography using Talbot Array Illuminators

    D. John, M. Riedel, A. Gustschin, P. Bidola, F. De Marco, P. Thibault, J. U. Hammel, J. Moosmann, F. Beckmann, J. Herzen

    Proc. SPIE — Developments in X-Ray Tomography XV, 13152, 1315215 · 2024

Oral Presentations5 talks · show ↓
  1. Quantitative stain mapping in X-ray virtual histology

    21st European Molecular Imaging Meeting (EMIM) · Ljubljana, Slovenia · Mar 2026

  2. High-resolution phase-contrast imaging for large samples at synchrotron sources with time-varying beam profiles

    International Symposium on Medical Applications of X-ray Phase-Contrast & Photon-Counting (IMXP) · Munich, Germany · Jun 2024

  3. X-ray dark-field computed tomography for monitoring of tissue freezing

    International Conference on X-ray and Neutron Phase Imaging with Gratings (XNPIG) · Shenzhen, China · Apr 2024

  4. Recent developments in quantitative phase-contrast microtomography using Talbot Array Illuminators

    SPIE Optics + Photonics · San Diego, USA · Aug 2024

  5. Wavefront-marker phase-contrast imaging for centimeter-sized samples

    15th International Conference on Synchrotron Radiation Instrumentation (SRI) · Hamburg, Germany · Aug 2024

Posters2 posters · show ↓
  1. Quantitative phase-contrast microtomography at Beamline P05 (PETRA III)

    International Symposium on Medical Applications of X-ray Phase-Contrast & Photon-Counting (IMXP) · Munich, Germany · Jul 2023

  2. Fate and effects of tattoo pigments in human and porcine skin

    M. Busse, D. John, A. Pfeiffer, J. U. Hammel, F. Beckmann, J. Moosmann, J. Herzen, I. Schreiver

    16th International Conference on X-Ray Microscopy (XRM) · Lund, Sweden · 2024

Academic Background

  1. Since 2023 PhD Candidate, Technical University of Munich Thesis topic: Quantitative modulation-based X-ray microtomography — using 2D modulator grids to imprint a known pattern on the beam and tracking its distortions to recover phase, attenuation, and dark-field channels quantitatively. Methods developed for the P05 and P07 beamlines at DESY as part of a collaboration with Helmholtz-Zentrum Hereon. Supervisor: Prof. Dr. Julia Herzen. Expected defence: Aug–Sep 2026.
  2. Nov 2024 — Apr 2025 Visiting Researcher, Monash University, Australia Research stay with the X-ray Imaging Group of Prof. Dr. Kaye Morgan and Prof. Dr. David Paganin. Ran experiments at the MCT (Micro Computed Tomography) beamline of the Australian Synchrotron, collecting the main dataset for the Advanced Science paper on X-ray virtual histology.
  3. 2020 — 2022 M.Sc. Biomedical Engineering & Medical Physics, Technical University of Munich Graduated in top 1% of cohort. Thesis: Dynamic X-ray dark-field tomography for monitoring of cryoablation
  4. 2017 — 2020 B.Sc. Physics, Technical University of Munich Graduated in top 10% of cohort

Awards & Scholarships

  1. 2025 FastForwardScience — Young Scientist Award (Long) & Best Debut Video Two prize categories for the video “Why are X-ray images still black and white?”
  2. Since 2023 Friedrich Naumann Foundation — PhD scholarship Financial support, seminar programme, and an international academy (Morocco, 2025)
  3. 2020 — 2022 Bayerische EliteAkademie — selective two-year programme Interdisciplinary training in responsible leadership, ethics, and problem-solving across residential modules
  4. 2018 — 2022 Friedrich Naumann Foundation — undergraduate & master’s scholarship

Writing

Essays on Medium about the surprising physics of everyday things, and the stories behind why we believe what we believe.

Read on Medium →

Contact

The best way to reach me is by email: .

Technical University of Munich · Munich, Germany